Sukladno novijim istraživanjima, oko 40% bolesnika zaraženih HIV-om inicijalno se prezentira sa simptomima u području glave i vrata, uključujući žlijezde slinovnice (Slika 1.) (1). Parotidne žlijezde zahvaćene su u oko 5-6 % navedenih bolesnika (2). Najčešći znak bolesti je: bolan ili rjeđe, bezbolan otok žlijezda popraćen suhoćom usta. Uzroci mogu biti brojni: reaktivna ili upalna stanja, akutne ili kronične infekcije te neoplazme (3).
Slika 1.: Shematski prikaz žlijezda slinovnica (4)

Ultrazvučna dijagnostika je inicijalna slikovna metoda u prikazu žlijezda slinovnica zato što je brza i jednostavna za primjenu, relativno je jeftina i pristupačna, ne koristi ionizirajuće zračenje i uporabom novijih uređaja visoke rezolucije može dati vrlo kvalitetan prikaz. Normalna ehostruktura parotidne i submandibularne žlijezde slinovnice je homogena i nešto je ehogenija u usporedbi s okolnom muskulaturom, zbog komponenete masnog tkiva (5). Kanalići unutar normalne žlijezde izgledaju poput linearnih hiperehogenih struktura (Slika 2.). Parotidna žlijezda ima vlastite limfne čvorove, dok submandibularna nema.
Slika 2.:Ultrazvučni prikaz normalne žlijezde slinovnice

Benigne limfoepitelijalne ciste
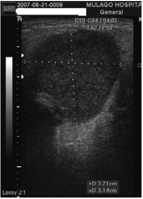
Najčešći uzrok uvećanja žlijezde slinovnice u bolesnika zaraženih HIV-om je solitarna ili multicentrična benigna epitelijalna cista. Njezina etiologija je još uvijek nejasna, a patogeneza kontroverzna (3). Navodi se uloga epidermotropnih virusa kao što je Epstein Barr Virus (EBV) i Cytomegalovirus (CMV). Definira se kao cista unutar parotidnog limfnog čvora najčešće u infraaurikularnom dijelu žlijezde. Limfoidna proliferacija može rezultirati u duktalnoj opstrukciji i dilataciji (5). Poznat je i entitet nazvan „Sindrom difuzne infiltrativne CD8 limfocitoze“ karakteriziran bilateralnim otokom parotida, difuznom infiltracijom CD8 limfocita, osobito u plućima i cervikalnom limfadenopatijom (3). Ultrazvučnim pregledom uočava se spektar nalaza: od pojedinačnih, jednostavnih, oštro ograničenih anehogenih cisti u jednoj ili obje parotide, do brojnih cisti od kojih neke mogu biti septirane ili sadržavati interni detritus (Slika 3.) (5). Uporabom linearnih sondi visoke frekvencije prikazujemo cistu u žlijezdi slinovnici, a ujedno nam služi i za navođenu dijagnostičku citološku punkciju.
Slika 3.: Ultrazvučni prikaz limfoepitelijalne ciste parotidne žlijezde s internim detritusom

Upale žlijezda slinovnica
Akutna upala žlijezda slinovnica je vrlo bolno stanje, najčešće zahvaća parotidne žlijezde. Može biti uzrokovano virusima (mumps), ali i bakterijama od kojih je najčešći Staphylococcus (6). Akutno inflamirana žlijezda je edematozna i hipoehogena s izbočenom vanjskom konturom. Unutar nje vide se brojni hipoehogeni fokusi koji predstavljaju areale upale, bez dilatacije žlijezdanih kanalića (7). Formiranje apscesa unutar žlijezde karakterizirano je anehogenim ili hipehogenim arealom okruženim debljom, ehogenijom kapsulom i može sadržavati kompresibilni sediment, a ponekad i mjehuriće plina (6). U slučaju vidljivog apscesa moguće je učiniti dijagnostičku i terapijsku punkciju pod kontrolom ultrazvuka (Slika 4.).
Slika 4.: Supurativni materijal dobiven punkcijom apscesa

Kronična upala
Kronični sialoadenitis karakteriziran je povremenim otokom žlijezde slinovnice koja je na ultrazvučnom pregledu heterogeno hipoehogena, s hipoehogenim fokusima.
Sjögrenov sindrom
Taj sindrom predstavlja autoimuni poremećaj s prisutnom upalom rožnice i spojnice oka, suhoćom usne šupljine i promjenama vezivnog tkiva. Najčešće je popraćen promjenama u parotidnim žlijezdama koje su uvećane i prožete brojnim cistama. U bolesnika zaraženih HIV-om taj se sindrom može javiti kao i u općoj populaciji, a u žlijezdama je moguća kombinacija limfoepitelijalnih cisti i promjena opisanih u Sjögrenovom sindromu (6).
Sarkoidoza
Žlijezda može biti zahvaćena difuzno i nema specifičan ultrazvučni nalaz, nego ima karakteristike ranije opisanih kroničnih upala.
Najučestaliji zloćudni tumori žlijezda slinovnica u bolesnika zaraženih HIV-om
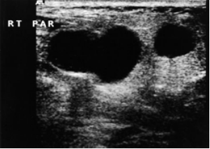
Burkittov limfom predstavlja vrlo agresivan ne-Hodgkinov limfom, a prema klasifikaciji Svjetske zdravstvene organizacije postoje tri kliničke varijante tog limfoma: endemičan, sporadičan i udružen s imunodeficijencijom (8). U bolesnika zaraženih HIV-om postoji dva puta veći rizik za razvoj Burkittovog limfoma i on čini 5-40% ne-Hodgkinovih limfoma u toj skupini bolesnika (8). Žarišni oblik bolesti prikazuje se kao uvećan, hipoehogen intraparotidni limfni čvor koji može davati stražnju atenuaciju ultrazvučnog snopa (Slike 5. i 6.). Difuzni oblik je nespecifičnog izgleda pri čemu je žlijezda u cijelosti uvećana i ne može se razlikovati od kronične granulomatozne upale.
Slika 5.: Otok parotidne žlijezde kod limfoma

Slika 6.: Ultrazvučni prikaz ne-Hodgkin limfoma u parotidnoj žlijezdi

Mukoepidermoidni karcinom
Ovi se karcinomi javljaju u bolesnika zaraženih HIV-om jednakom učestalošću kao i u općoj populaciji (3). Ultrazvučno se prikazuje kao žarišna lezija žlijezde, neoštro ograničenih rubova, češće u dubljem segmentu žlijezde s povećanim intratumorskim vaskularnim otporom i pridruženom cervikalnom limfadenopatijom (6).
Dijagnostički postupci u HIV-om zaraženih bolesnika s otokom žlijezda slinovnica
U Klinici za infektivne bolesti „Dr. Fran Mihaljević“ u Zagrebu algoritam dijagnostike otoka žlijezda slinovnica u bolesnika zaraženih HIV-om obuhvaća: uzimanje anamneze i klinički pregled uz uvid u laboratorijske nalaze. Zatim slijedi ultrazvučni pregled na Zavodu za radiologiju i ultrazvuk te ultrazvukom vođena citološka punkcija i 36 37 HIVhep godišnjak za zdravstvene djelatnike postavljanje citološke dijagnoze. Ovisno o ultrazvučnom nalazu, pretraga se može proširiti na kompjutoriziranu tomografiju ili magnetnu rezonanciju vrata, zbog utvrđivanja proširenja bolesti na susjedne ili udaljene organe. Prema citološkom nalazu može uslijediti biopsija te daljnja terapija, ovisno o nalazu biopsije.
Zaključak
Parotidne limfoepitelijalne ciste su najčešća i najznačajnija manifestacija HIV-infekcije u području glave i vrata. Primarno ih dijagnosticiramo ultrazvučnim pregledom te citološkom punkcijom pod kontrolom ultrazvuka. Potrebno ih je razlikovati od drugih žarišnih lezija u slinovnicama u bolesnika zaraženih HIV-om, osobito ne-Hodgkinovog limfoma.
Autor: Prim. dr. sc. Klaudija Višković, dr. med. – specijalist radiologije-subspecijalist ultrazvuka; znanstvena savjetnica; Pročelnica Zavoda za radiologiju i ultrazvuk Klinike za infektivne bolesti „Dr. Fran Mihaljević“ Zagreb







