Bilo koji lijek može dovesti do neželjenih reakcija čak i kada se koristi u preporučenim dozama i načinima primjene. Neželjene reakcije na lijekove mogu nastati na bilo kojem organu. U usnoj šupljini neželjene popratne pojave uzimanja lijekova mogu biti na lijekove ili pripravke koji se uzimaju lokalnim ili sistemskim putem. U prvom redu, bitno je za napomenuti i da neki čajevi npr. od kadulje (žalfije) ali i propolis. Reakcija na lijek se može javiti prvi puta po primjeni nekog lijeka, ali i tek nakon duže upotrebe lijeka. Poznato je da bolesnici mogu svakodnevno dugi niz godina uzimati određeni lijek koji onda može dovesti do neke neželjene nuspojave. Bitno je za napomenuti kako se taj trend reakcija na lijekove mijenja s obzirom da se neprestano pronalaze novi lijekovi, dok se neki lijekovi prestaju upotrebljavati.
Pri dijagnostici neželjenih reakcija na lijekove u usnoj šupljini, iskusni kliničar će se pri dijagnostici najčešće koristiti iscrpnom anamnezom i kliničkom slikom iz razloga što je jedini objektivni dokaz o tome da je neki lijek doveo do reakcije tzv. „rechallenge“- odnosno ponovno davanje lijeka osobi. Uslijed mogućnosti nastanka anafilaktičkog šoka takav postupak se provodi u bolničkim strogo kontroliranim uvjetima. Postupak „rechallenga“ se isključivo provodi ukoliko je lijek nužno potreban osobi i ne postoji zamjenski lijek za bolesno stanje pacijenta jer se u protivnom postupak „rechallenga“ smatra neetičkim. U nekim slučajevima kada pacijent uzima velik broj lijekova je vrlo teško odrediti koji lijek dovodi do nuspojave, pa se čini logičnim započeti s zamjenom lijeka za koji je u literaturi opisano da češće dovodi do neželjenih reakcija u usnoj šupljini. U terapijskom smislu je potrebno odmah prestati uzimati suspektni lijek i zamijeniti ga lijekom koji djeluje na to stanje, ali je iz druge skupine lijekova.Na kraju bitno je za napomenuti kako neželjene reakcije u usnoj šupljini nisu tipične i samim time nisu lako prepoznatljive. Liječenje se temelji na eliminaciji sumnjivog lijeka te u slučaju alergijskih reakcija lokalnoj odnosno sistemskoj primjeni kortikosteroida.
SUHOĆA USTA
Danas je poznato da više od 500 lijekova koji se daju za liječenje raznih sistemskih bolesti i stanja mogu dovesti do suhoće u usnoj šupljini. Nažalost, lijekovi koji se najčešće upotrebljavaju (antihipertenzivi i sedativi) gotovo redovito imaju nuspojavu u vidu suhoće usta. Inače je poznato da ove skupine lijekova dovode do suhoće usta: antihipertenzivi, antikolinergici, antihistaminici, benzodijazepini, citostatici, dijuretici, inhibitori protonske pumpe i antagonisti H2, antipsihotici, antidepresivi, hipnotici, opioidi, antagonisti muskarinskih i alfa receptora, supresori apetita, bronhodilatatori, lijekovi za liječenja HIV-a, retinoidi, lijekovi za liječenje migrene, dekongestivi, relaksansi skeletalnih mišića. Budući da su lijekovi bitni za pacijenta, simptomi suhoće se mogu ublažiti stimulacijom lučenja sline odnosno nadoknadom sline uz pomoć umjetnih slina.
OSJEĆAJ ŽARENJA U USNOJ ŠUPLJINI
Do osjećaja žarenja u usnoj šupljini najčešće od lijekova dovode antihipertenzivi odnosno skupina inhibitora konverzije angiotenzina (ACE inhibitori) (generički: lizinopril, kaptopril, enalpril, itd). Čini se da simptomi žarenja mogu nastati vrlo brzo, ali i nakon dugotrajnije primjene. Zamjenom lijeka, lijekom druge skupine dolazi obično u roku od 14 dana do povlačenja simptoma pečenja.
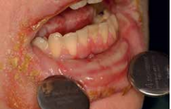
ORALNE ULCERACIJE
Danas se zna da nesteroidni protuupalni lijekovi i beta blokatori mogu dovesti do nastanka oralnih ulceracija. U literaturi je opisano kako neki betablokatori, kaptopril, alendronat, nikorandil, ali i inhibitori proteaze, sulfonamidi, takrolimus, mikofenolat isto tako mogu dovesti do nastanka ulceracija u usnoj šupljini.Također je poznato da natrij lauril sulfat koji se nalazi u većini zubnih pasta može u nekih ljudi dovesti do lezija koje liče aftama. U usnoj šupljini mogu nastati ulceracije kao nuspojava imunosupresivne terapije. Neki lijekovi poput fenilbutazona mogu dovesti do agranulocitoze koja se može manifestirati oralnim ulceracijama.

HIPERPLAZIJA GINGIVE
Prilično česta i poznata neželjena nuspojava uzimanja antihipertenziva (blokatori kalcijevih kanala; nifedipin), antiepileptika (fenitoin) i imunosupresiva (ciklosporin) je hiperplazija gingive koja obično nastaje nekoliko mjeseci nakon uzimanja ovih lijekova. Hiperplazija se pogoršava neodržavanjem oralne higijene pa se u ovih pacijenata preporučuju češće kontrole kod stomatologa. Ukoliko je jako izražena hiperplazija gingive kao u slučaju na slici vrlo često je potreban kirurška obrada gingive tzv. gingivektomija.

MULTIFORMNI EKSUDATIVNI ERITEM
Lezije multiformnog eritema zahvaćaju usnice, oralnu sluznicu i konjunktive. Bule pucaju te nastaju površinske oralne ulceracije. Stanje može zahvatiti i druge sluznice. Mnogi lijekovi mogu dovesti do nastanka multiformnog eritema posebno nesteroidni protuupalni analgetici, sulfonamidi, cefalosporini, tetraciklini, estrogeni i barbiturati. Liječenje je eliminacija lijeka i u ovakvim slučajevima čak i sistemska primjena kortikosteroida.

KANDIDIJAZA
Uslijed terapije antibioticima, kortikosteroidima, citotoksičnim lijekovima i drugim imunosupresivima te lijekovima koji dovode do kserostomije može doći do nastanka pseudomembranozne odnosno atrofične kandidijaze. Kandidijaza se liječi antifungalnim lijekovima obično lokalno u trajanju dva tjedna.

Sve slike su vlasništvo Arhive Zavoda za oralnu medicinu, Stomatološki fakultet u Zagrebu
Autor: prof. dr. sc. Vanja Vučićević Boras, dr. med. dent.
Izvor: HIVhep Godišnjak za zdravstvene djelatnike, Izdanje 2019.







